Hello! I’m Hinosha Niyas — an AI developer, lecturer, and researcher with a Master’s in Computer Science (Artificial Intelligence) and a First-Class Honours degree in Software Engineering. I'm deeply passionate about machine learning, computer vision, and the ethical application of AI in real-world domains like healthcare, finance, and security.
My research focuses on building trustworthy and explainable AI systems to support clinical decision-making through medical image analysis. I've developed and deployed deep learning models for COVID-19 chest X-ray classification, stock market trend prediction, and sentiment analysis — all designed to make AI more accessible and impactful.
I currently lecture in Computing and IT, where I guide students through the evolving world of data science, programming, and intelligent systems. I enjoy solving complex problems, sharing knowledge, and creating intuitive tools using technologies like Python, Streamlit, and cloud platforms. My goal is to advance AI research while empowering others to apply it meaningfully.
A deep learning model to classify chest X-rays into COVID, Pneumonia, and Normal cases using CNNs.
View on GitHub View on Streamlit
A Python tool that predicts stock market trends using linear regression and trained models.
View on GitHub View on Streamlit
An AI tool that fetches and analyzes news sentiment for any keyword using NLP and Streamlit.
View on GitHub View on Streamlit
A Streamlit-based web app that lets users fetch and download historical stock data using Yahoo Finance API.
View on GitHub View on StreamlitAn AI-powered Streamlit app that uses a trained CNN model to classify uploaded skin images as Cancerous or Non-Cancerous.
View on GitHub View on Streamlit
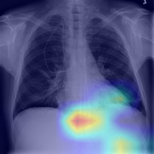
“Interactive demo that classifies chest X-rays as Pneumonia vs No Finding using a fine-tuned ResNet-18 and explains its decision with Grad-CAM heatmaps.
View on GitHub View on Streamlit
A deep learning application using YOLO and Grad-CAM to detect and visualize brain tumors from MRI images with explainable AI insights.
View on GitHub View on Streamlit